군포전체임플란트 식립이 부담되신다면?

.
다수의 치아 상실 시
과거에는 틀니치료를 진행하는 경우가
대부분이었습니다.
.
하지만 잇몸의 불편함과
고정력 부족으로 인해
일상생활에서 불편을 초래하는 경우가 많아,
최근에는 임플란트 치료를
많이 시행하고 있습니다.
.
임플란트는 고정되는 방식으로
기능적인 부분과 심미적인 부분을
자연치와 거의 유사하게 구현할 수 있으며,
.
제대로 관리하기만 한다면
반영구적으로 활용이 가능하기 때문에
효율적인 방법으로 주목받고 있답니다.
하지만 상실된 치아의 갯수가 많아
전체적으로 임플란트 진행이 필요한 경우엔
비용적인 부담이 들 수 밖에 없는데요.
.
이 때 ‘올온엑스’ 치료방법을
고려해볼 수 있답니다.
.

.
‘올온엑스’는
소량의 임플란트를 전략적으로 식립한 후,
그 위에 하나로 연결된 보철물을 올려
치아 기능을 회복해 주는 방법을 말하는데요.
.
식립 갯수를 줄여
전체 임플란트 식립에 비해
비용을 절감할 수 있고,
고정식으로 단단하게 고정되어 있어
자연치와 비슷한 사용감을 제공합니다.
.
식사 시 불편감이 거의 없고
심미적인 만족도도 높은 경우가 많답니다.
.
ㅡ> 정리하자면
전체 임플란트가 부담되는 경우
틀니의 단점은 줄이고,
임플란트의 장점은 극대화한 치료 방법이랍니다.
오늘은 서울그린치과의
‘올온엑스’ 치료사례를 소개해드리겠습니다!
.

.
소개해드릴 분은
70대 후반 환자분으로,
아래 틀니의 헐거움과
위쪽 브릿지의 흔들림을 주소로 내원하셨습니다.
.
아래 틀니가 헐거워
음식 섭취 시 불편함을 느끼고 계셨으며,
위쪽 기존 브릿지는 흔들림으로 인해
불안정한 상태였습니다.
.
또한 특히 틀니를 매번 탈착해야 하는
번거로움으로 인해
일상생활에서 스트레스도
느끼고 계신 상황이었답니다.
.

.
엑스레이 사진을 촬영하여
더욱 정밀한 체크를 진행하였고,
환자분과의 충분한 상담을 통해
치료계획을 수립해보았습니다.
.
틀니 탈착의 번거로움 및 저작력 향상을 위해
임플란트 식립을 기본으로
치료 계획을 수립하였는데요.
.
[치료계획]
.
✅ 아래쪽(하악)
.
ㅡ> 전체 임플란트의 경우
비용이 부담 되기에
비용 부담은 낮추면서
전체 임플란트의 기능 대비 효과가 좋은
‘올온엑스’ 진행
.
✅ 위쪽(상악)
.
ㅡ> 살릴 수 있는 치아는
가능한 살려 브릿지 제작 후,
소량의 임플란트 식립으로
치아 기능 회복시키기로 함
.

.
계획한 위치 및 방향대로
아래쪽 임플란트를 먼저 진행하였고,
.

.
위쪽도 순차적으로
치료를 진행했습니다.
.

.
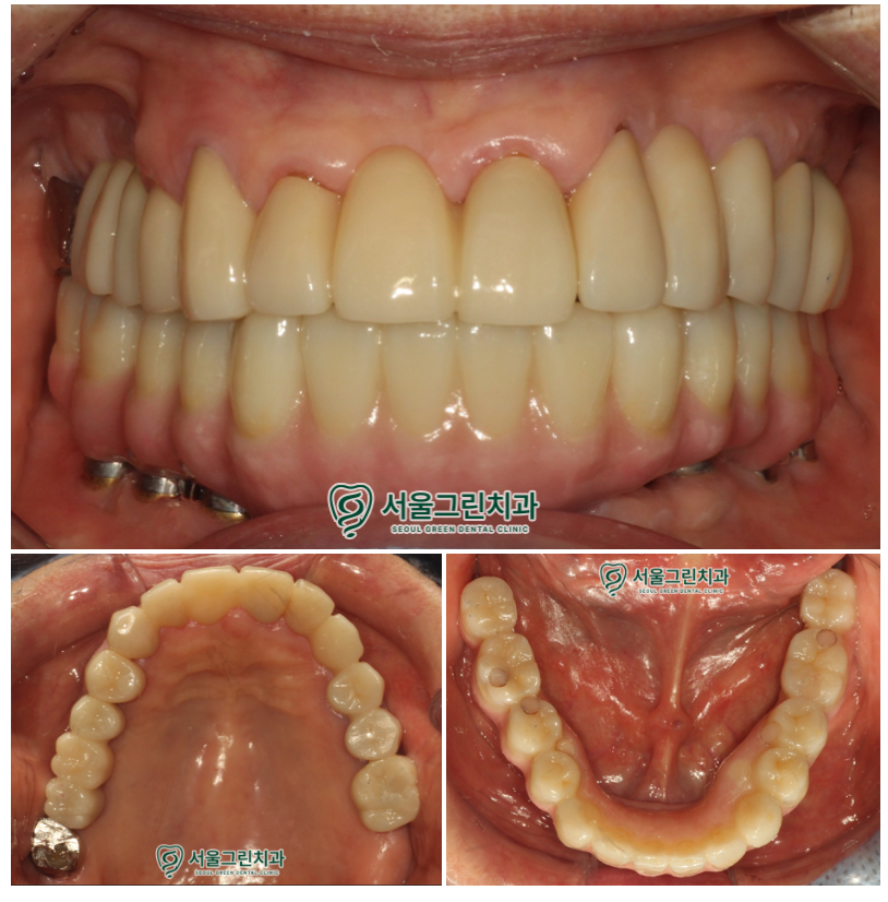
위아래 모든 치료가 마무리 된 후,
구강 내 모습입니다!
.
치료 후 환자분께서는
틀니를 빼고 끼는 번거로움이 사라져
매우 편해졌으며,
이전보다 훨씬 안정적으로 씹을 수 있게 되었다고
만족해하셨답니다.
.

군포전체임플란트 군포전체.임플란트
환자분의 연령, 구강 상태,
비용 부담까지 종합적으로 고려한
맞춤형 치료 계획을 통해
성공적인 치료결과를 보여드렸습니다.
.

.
이렇게 전체 임플란트의 비용 부담을
대체할 수 있는
‘올온엑스’ 치료법에 대해
소개해드렸는데요.
.
본원에서는 명확한 진단과
환자 개개인에 맞는
치료 계획을 수립하여
성공적인 치료를 도와드리고 있으니,
치아 상실로 고민하고 계신다면
믿고 내원해주시길 바랍니다.
.
서울그린치과에서
편안한 식사와 일상을
다시 되찾으시길 바랍니다!
.
.
.
.
* 모든 증례 사진은 의료법 제23조, 제 56조에 의거하여,
당사자의 동의하에 게시하였습니다.
* 치료 사진은 모두 본원에서 치료한 환자분의 사진입니다.
* 치료 사진은 모두 동일인의 사진이며,
동일조건에서 촬영하였습니다.
* 개인의 차이에 따라 시술 및 수술 후 부작용이 발생할 수 있으며,
의료진과 충분한 상담을 받으시기 바랍니다.
.